[정보] 고양이혈액검사 보는 방법 (혈검 결과 보는법 / 고양이 피검사 이해하기)
고양이혈액검사

이번에 첫째 아이가 아프면서
가장 답답했던게 고양이 혈액 검사 결과를 두고 이야기 하는 전문 용어들이었습니다
'빌리루빈 수치가 높아서' 황달이 의심 되고
간수치가 높아서 위험하고 뭔가 이런저런 용어들이 나오는데 이걸 다 알지 못하니까
빨리 결론만 말해줬으면 싶으면서도 안듣고 놓치는건 아닐까
나중에 다 이야기를 듣고 집에오고 나니 머리는 멍 하고
뭐때문에 아픈건지 이해를 못한것 같고 집사만 무식한것 같고
그래서 내 고양이가 어디가 아픈지 알기 위해 혈액 검사에 관계된 수치를 아는 방법을
포스팅 합니다
포스팅 전에 강조하고 싶은 이야기가 있다면
해당 항목의 수치로 '질병의 절대적 진단 기준'이 되지 않습니다
대부분 질병은 혈액검사 외 초음파, 엑스레이 그리고 필요에 따라서 마취후 CT촬영을
하며, 예후와 증상들을 비교하며 결과를 냅니다
가령 우리 아이 처럼 황달 수치가 높은 경우라 해도
빈혈 수치가 있느냐, 염증 반응이 있느냐 , 간수치가 어떻느냐 따라서 질병의
형태가 완전 다를수 있다는 것입니다.
이점을 꼭 이해해두시고, 마지막으로 '의사'도 사람이기 때문에 오진이 있을수 있으나
인터넷에 있는 지식에 의존하여 의사의 판단을 흐리게 만들거나 병원을 불신 하게 되어
아이의 골든 타임을 병원을 옮기고 다니느라 놓치는 불상사를 만들지 않으셨으면 합니다.
'환자는아이의 병세가 호전되길 바라고 죽을 위기에 있어도 살릴수 있는 방법을 찾기 때문에
따로 의사의 판단에 의문을 제기 하고 의사가 환자를 방치 하고 있다고 불신 하게 될수 있습니다
문제는 이러한 불신이 자칫 아이를 살리고 있을 골든 타임을 앗아갈수 있다는 것을 잊지 않으셔야합니다'
고양이혈액검사표 보는방법
ALKP (정상치 14-192 (U/L)
(Alkaline Phosphatase)
간/뼈 질환의 여부
설명 : 간질환 초기 관찰이 가능, 간세포내 쓸개관 존재하는 효소로 담즙 배설 장애 판단 유무 확인가능
뼈에도 존재하기 때문에 뼈와 관련된 질환에도 증가가능성이 있음
쓸개관에 존재하는 효소로 담즙 배설 장애 판단시 GGT 수치와 함께 보며 , 담즙 배설 장애시 암모니아 수치가 함께 증가함, 이 수치는 성장에 관련된 수치로 성장기 자묘에 경우 높게 나올수 있으나 정상인 경우가 대부분이며
다른 간 수치아 함께 상승 하면 자묘의 경우에도 간 손상을 의심해야 함
ALT (정상치 12-115 (U/L)
(Alanine Aminotransferase)
간 손상 여부
설명 : 간에서만 생산되는 효소, 약복용이나 질병으로 간세포가 손상 받을 경우 수치가 증가됨
먹으면 안되는 물질을 먹었을때 급성으로 올라갈수 있음
간에 관련된 질병 (지방간등)이 의심될때 다른 간수치와 동반 산승됨
BUN (정상치 16-33 (mg/dL)
(Blood Urea Nitrogen)
신장 기능
설명 : 혈액속 요소질소 농도로 식사 영향을 받음 혈액속 존재 하기때문에 체액 상태를 반영함
신장 질환을 판단 할때 주로 이수치를 보며 한쪽 신장이 정상일 경우 증가하지 않을수 있음
기준치 이상 : 위장 출혈 , 혈량 저하, 쇼크,탈수, 기아, 신장질환, 신부전, 신독성 약물
기준치 이하 : 심각한 간손상
참고 : 상승 요인이 다양해서 이 수치만으로 신장기능 여부를 판단할수 없음
CRA (정상치 0.6-1.6 (mg/dL)
(Creatinine)
신장 기능
설명 : 근육의 크레아틴 탈수 반응에 의해 생산되 신장을 통해 배출되어 신장 기능 검사에 사용
기준치 이상 : 신장질환, 신장결석, 쇼크
GLU (정상치 85-130 (mg/dL)
(Glucose)
혈당수치
설명 : 혈액속 당 비율
기준치 이상 : 당뇨 의심
기준치 이하 : 발작, 혼수 가능
TP (정상치 5.8-8.2 (g/dL)
(Protein - Total )
총 단백질
설명 : 수화상태, 간 신장 염증성 질환에 대한 추가 정보 제공
기준치 이상 : 구토, 고단백혈증 , 감염 , 탈수 , 종양 , 쇼크
기준치 이하 : 소화불량, 흡수불량, 영양불량, 기생충, 화상, 신장장해, 패혈증 의심
ALB 또는 Albumin (정상치 2.2-3.9 (g/dL)
(Albumin)
혈청 단백질 (알부민)
설명 : 몸에 필요한 단백질, 세포,채액에 넓게 분포되어 글로불린과 세포를 구성하는 단백질
60%는 장내 존재 하며 간에서 만들어진 몸의 단백질 보급원
참고 : 이 수치가 낮으면 복수가 찰 가능성이 높음 (알부민이 낮으면 고단백 식이를해야함 단백질 흡수가 잘안되기 때문에 잘먹어야함)
기준치 이상 : 신장, 화상, 장천공, 대량 출혈 , 감상선기능항진증, 암
기준치 이하 : 영양상태가 나쁠 경우 , 간 경변 , 만성 간염,
저부민시 나타나는 임상 증상으로는 (복부팽만,복수,흉수,설사,구토,호흡곤란,부종,전신종창 )
Amylase (정상치 500-1400 (U/L)
(Amylase)
아밀리아제
설명 : 증가시 췌장염 , 신장 질병
Cholesterol- Total (정상치 62-191 (mg/dL)
(Cholesterol)
콜레스테롤
설명 : 갑상선 기능 저하증, 간질환, 부신피질기능항진증, 당뇨진단
GGT (정상치 0-1 (U/L)
(Gamma Glutamyl transferase)
설명 : 간 질환, 스테로이드 과다 를 나타내는 효소
Ammonia [NH3] (정상치 0-95 (mol/L)
(Ammonia)
암모니아
설명 : 혈액내 암모니아 수치(산성) , 암모니아 배출이 안되거나 간에서 해독기능이 제대로 수행되지 못할때 높음
TBIL 또는 Bilirubin - Total (정상치 0-0.9 (mg/dL)
(Bilirubin - Total)
빌리루빈 토탈 (황달)
설명 : 빌리루빈은 오랜 적혈구가 파괴되며 형성되고, 담관을 통해 배변으로 배출되거나
소변으로배출되어야 하는데 문제가 생겨 혈액내 빌리루빈이 머물게 될 경우 수치가 증가됨
담도계 이상 , 간 질환 , 신장계통, 특정 빈혈 종류 감별 (용혈성 빈혈 등)
GLO (정상치 2.8-4.8 (g/dL)
(Globulin)
글로불린
설명 : 신체 면역 담당 담백질 증기시, 감염, 염증 의심
Calcium (정상치 7.9-11.3 (mg/dL)
(Calcium) CA++
칼슘
설명 : 칼슘 증가 및 감소는 다양한 질병 종양, 부갑상선기능항진증, 신장 질환, 저알부민혈증 등 칼슘 수치 변화
HCT 또는 Hematocrit (정상치 24-45 (%)
(Hematocrit)
헤마토클릿 (빈혈진단)
설명 : 전체 혈액속 적혈구 비율 , 헤마토크릿이 낮으면 적혈구수치가 정상이라도 빈혈 증상
HGB 또는 Hemoglobin (정상치 8-15 (g/dL)
(Hemoglobin)
헤모글로빈 (빈혈진단)
설명 : 적혈구속 주성분, 색소단백질 , 이 수치가 적으면 빈혈이고 산소를 제대로 운반 못함
기준치 이하 : 빈혈, 철분부족, 출혈
MCHC (정상치 30-36.9 (g/dL)
(Mean Corpuscular Hemoglobin concentration)
평균 적혈구 혈 색소량
설명 : 적혈구 용적으로 빈혈 정도를 측정 철겹필성 빈혈
WBC (정상치 5-18.9 (10x9/L)
(White Blood cell count)
백혈구 수치
설명 : 백혈구는 박테리아,바이러스 등의 침입으로 신체를 방어하는 역할로
이 수치의 변화는 바이러스 감염 , 염증 진단을 판단함, 알러지나 백혈명, 면역 질환 파악
기준치 이상 : 세균 감염증, 알레르기 , 염증, 암 (스트레스가 많아져도 증가함)
기준치 이하 : 바이러스 감염증, 백혈구 감소증, 백혈명
WBC - Gran (#) (정상치 2.5-12.5 (10x9/L)
과립구
설명 : 특정 백혈구의 종류로 어린 고양이나 성장중인 아이가 가장 높고 나이가 증가하면서 수치가 들어듬
WBC - Eos (#)
(Blood Urea Nitrogen)
호산구
설명 : 백혈구의 한 종류 (혈액 검사 기계 수치가 정확하지 않은 경우가 많다고함)
기준치 이상 : 기생충, 알레르기
기준치 이하 : 쿠싱 증후군, 스트레스
WBC - Lymph + Mono (H) (정상치 1.5-7.8 (10x9/L)
(Lymph)
림프구
설명 : 생체반응에 관여하는 중요한 세포로 항체를 생산하고 과민반응, 동종이식편거절반응등 면역 응답을 담당
기준치 이상 : 감염증, 급성 췌장염
기준치 이하 : 패혈증, 과립구 감소증
PLT (정상치 175-500 (10x9/L)
(Platelet)
혈소판
설명 : 혈괴를 형성하는 혈구세포, 출혈을 멈추는데 중요한 역할
기준치 이상 : 급성 출혈, 골수 이상, 스트레스
기준치 이하 : 출혈이 잘 일어나며, 멈추지 않고 골수장해 및 자반병 의심
RETIC (정상치 0-1 (%)
(Reticulocyte (%)
세망 적혈구
설명 : 미성숙한 적혈구, 이 수치가 높다는것은 혈성 미성숙 적혈구가 많다는 것으로
재생성 빈혈을 의미함

<간종양 말기로 투병중인 저희 첫째 아이 스퀄 친칠라의 혈액 검사표 입니다 >
고양이황달수치
그리고
고양이간수치
가 높게 나와, 입원을 했으며
이틀차에 수액조치로 간수치와 황달수치가 다소 감소된 것을 볼수 있습니다
(하지만 다음날 다시 황달 수치가 12.1 에서 13.6 까지 치솟아 2차병원을 내방 했고
간 종양 말기 진단을 받게 됩니다)
혈액 검사에선 해당 성분이나, 수치를 가지고 어떤 계통에 어떤 문제가 생겼는지를 증상을
판단하는데 중요한 요소들이 있습니다
다만, 여러 그동안의 자료등을 통해서 해당 수치등의 변화가 특정 증상과 밀접한 관계로 나타나기 때문에
병명이나 원인을 판단하는데 도움이 되는것이지 직접 적인 진단에 '결과 확인'을 위해서는
초음파나 조직검사, CT촬영 등이 함께 병행 되어야 합니다.
스퀄이의 경우에도, 혈액검사상 수치상황으로만 봐서는
지방간 또는 , 담도계 폐색도 생각 해볼수 있겠죠
빈혈 수치가 정상이니.. 간전성 증상은 아니고 간성이나 간후성인데
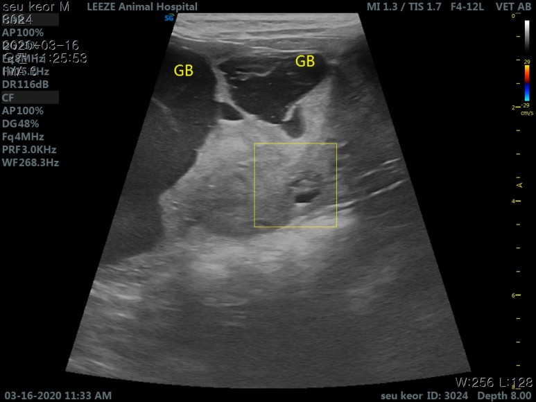
초음파를 보니..

담낭이 확장 된것 외에도 비정상적으로 커보이는 물주머니 형상의 것이 관찰 됩니다

그리고 병원에서는 이것이 담낭의 확장인지 혹은 간인지? 혹은 간외에 따로 생긴 세포덩어리 (종양)인지
간 이라면. 갈비뼈 아래까지 너무나 비대해진 이런 현상을 본적이 없다
결과적으로 의심되는것은 '간종양' 하지만, 사진상 슬러지가 심해 우선은 급한 황달수치를 수액으로 잡아보고
좀더 추이를 지켜보자
하지만, 다음날, 황달 수치는 치솟았고, 시간을 벌기 위해 더 정밀장비가 있는 2차병원에서 더 고급 장비로
초음파 진단후 '간종양 을 확진' 받음.
혈액검사상의 수치 변화가 ' 질병의 확진'을 장담 할수 없기 때문에
어디까지, 혈액검사는, '증상을 추측 할수 있는 ' 지표 정도로써
판단 하는것이 옳습니다.
그리고 앞서 , 본문 서두에 말씀 드린것과 같이
아무리 일반인이 날고 기어도 , 기본적으로 그 일을 생업으로 하는 전문가의 경험치 나 판단을 넘어서는
경우는 그리 많지 않습니다
되려, 일반인의 섵부른 판단과 주장이 아이의 병세를 악화시키고 아이를 살릴수 있는 골든타임을 놓치
게 만드는 악역향이 될수 있는 부분도 되기 때문에 (인터넷의 병폐라 생각 하네요)
어디까지나 혈액 검사의 자료는 참고의 자료로 아이의 캐어와 회복을 위한 지침으로 공부 하시는것이
좋겠습니다.
'고양이 이야기 > 고양이 집사 이야기' 카테고리의 다른 글
| [정보] 고양이 간종양 복수가 차는 이유 고양이 복수천자 (4) | 2021.11.04 |
|---|---|
| [정보] 고양이 꼬리 움직임 행동으로 보는 고양이 감정 상태 (0) | 2021.11.04 |
| [정보] 죽음을 앞둔 고양이와 시간 보내기 (고양이 죽음/반려묘 죽음 고양이 안락사 결정) (0) | 2021.11.04 |
| [정보] 고양이 토 색깔 (위험 / 구분 방법) Cat Vomiting Color Chart (0) | 2021.11.03 |
| [정보] 고양이 황달 증상 (고양이 황달 원인) 그리고 의심 할수 있는 질병과 치료방법 (1) | 2021.11.03 |
댓글